

一般歯科、小児歯科、予防歯科をはじめ
矯正歯科や審美歯科等もご相談ください
こちらでは、当院が対応する治療についてご紹介しております。


当院では、「8020運動」を推奨し、長くご自身の歯を残せる歯科治療を推進しております。
こちらは、「80歳になっても20本以上自分の歯を保とう」という運動です。
一般的には20本以上の歯があれば食生活に問題が起きにくいと言われています。
この運動は「生涯、自分の歯で食べる楽しみを味わえるように」と始まったものです。
虫歯や歯周病(歯槽膿漏)でお困りの方は、お気軽にご相談ください。
乳歯は永久歯に比べて抵抗力が低く、虫歯になりやすいことが知られています。
また、乳歯の虫歯は後から生えてくる永久歯にも影響を及ぼします。
そのため、永久歯の健康を維持したいなら「まだ乳歯だから多少の虫歯は大丈夫」と軽視せず、
定期的な検診やお早めのご来院をおすすめいたします。
>こどものマウスピース矯正・プレオルソについてはこちら
>小児歯科についての詳細はこちら
歯並びを整えることで近年では全身の健康にも関わっていることが
少しずつ解明されています。
矯正歯科と聞くと、ほとんどの方は悪い歯並びを整えてきれいにする治療を想像するかと思いますが、
実際には見た目だけの問題ではありません。
歯並びの悪いこと自体が健康に悪影響を与えることがわかってきて、まずます重要性が高まっています。
また、矯正が一般的になっている国の方は歯の矯正を行っていない方に悪印象を持つケースもあり、
矯正を行う成人の方が増加しております。
いまの矯正治療は技術の発達により成人でも対応可能です。これまで諦めていた方もぜひご相談ください。
虫歯や歯周病になってからの治療では悪化を防ぐことができません。
予防しなければ、いまの状態は維持できないのです。
ほとんどの方が、「痛みがひどくなってきた」「歯がグラグラしてきた」といったように、
悪くなってから受診されます。
歯は一度削ってしまうとその歯が自分で元の形を取り戻すことはありません。
詰め物にしろ、被せ物にしろ、人工物でフォローするしかなく、歯の寿命は確実に縮まります。
定期的に歯科検診を受け、ご自分の歯の状態をきちんと把握し、
虫歯や歯周病にならないように正しいブラッシングで予防していきましょう。
事故による外傷、虫歯や歯周病などで歯を失ってしまった場合に適した治療法です。
失った歯を補うために、顎の骨にチタン合金製の人工歯根を埋め、
そこへ人工歯(セラミック・金属歯等)をかぶせで歯の代わりにする治療法です。
保険は適用できませんが、ご自分の歯とほぼ同様の感覚で食べ物を咬むことができるのがメリットです。
見た目を美しく健康な歯や歯茎にしていくことを目的とした治療です。
虫歯治療として詰め物や被せ物を装着しなくてはなりませんが、
治療箇所によっては金属は非常に目立ってしまいます。
それが嫌で人に歯や笑顔を見せることをためらう方も多くいらっしゃいます。
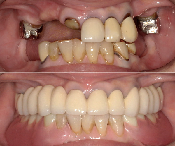
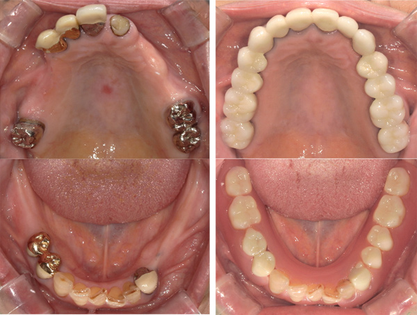
【インプラントを諦めた方へ】骨粗鬆症でも可能な「全顎治療」
全顎治療は、口腔内全体の問題を再構築する治療法です。部分的な対症療法ではなく、
口腔環境の根本的な改善を目指し、長期的な健康と美しい見た目を獲得します。
補綴で一番良いと考えるモノリシックジルコニアを他院よりもリーズナブルな価格でご提供しております。
インプラントを使わない「フルマウスリコンストラクション(全顎治療)」が可能です。
骨の状態に左右されるインプラントとは異なり、今ある歯の根を最大限に活用して噛み合わせを再構築します。
骨粗鬆症や持病などで外科手術が難しい方にもおすすめできる治療法です。
ジルコニアは臼歯66,000円・前歯99,000円(税込)です。
強度と美しさを兼ね備えたジルコニアクラウンを、より多くの方に選んでいただけるようリーズナブルな価格で提供しています。

*その他症例はインスタグラムをご参照ください

*その他症例はインスタグラムをご参照ください
お口の中を全体的・総合的に治療した症例です。
欠損歯が多いがインプラントが怖い・骨密度の関係でできない、という方は是非一度ご相談ください。
上顎:メタルボンドフルブリッジ(プロビジョナル=仮歯を含む) 約150万円
下顎:ジルコニアクラウン+ノンクラスプデンチャー(ジルコニアレスト)約55万円
約3ヶ月




*その他症例はインスタグラムをご参照ください
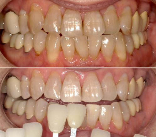
ホワイトニングは、歯の着色を取り除くのが目的の治療です。
歯の色は日々の食事などで少しずつ着色されており、これによってどうしても見た目が悪くなってしまいます。
ホワイトニングを行うことで、一旦それをリセットする事ができます。
継続的に行うことで白い歯を維持できるため、人前で頻繁に話すお仕事の方などにご利用いただいております。
症例豊富なウォーキングブリーチ、リーズナブルかつ時間をかけ丁寧に行うオフィスホワイトニングです。
上下20本(笑った時に見える範囲)で1回 27,500円(税込)です。
第二小臼歯(奥歯の手前)までの計20本を対象としており、時間をかけて丁寧に施術を行います。
はい、対応可能です。平均3回前後の施術をおすすめしています。
一般的に難しいとされるテトラサイクリン歯の変色も、当院のオフィスホワイトニングであれば改善が見込めます。
個人差はありますが、平均して3回前後の施術で効果を実感される方が多いです。神経のない歯の変色には「ウォーキングブリーチ」も行っています。

*A3からB1に変化
*全体で1時間ほどかけ、丁寧に施術します




*エアフローは保険診療での歯面清掃では不十分と判断される場合にご提案させて頂きます
根管治療が済んでいる歯で変色が見られる場合が適応となります
処置回数は基本的に2回(漂白剤貼付、1週間後色調確認)




*その他症例はインスタグラムをご参照ください
幼少期のテトラサイクリンという抗菌薬が原因で変色してしまった歯を3回かけて審美回復した症例です。
審美回復が困難と言われている症例でも、回数を重ねることで対応が可能です。
82,500円(27,500円/1回)
3週間

*その他症例はインスタグラムをご参照ください